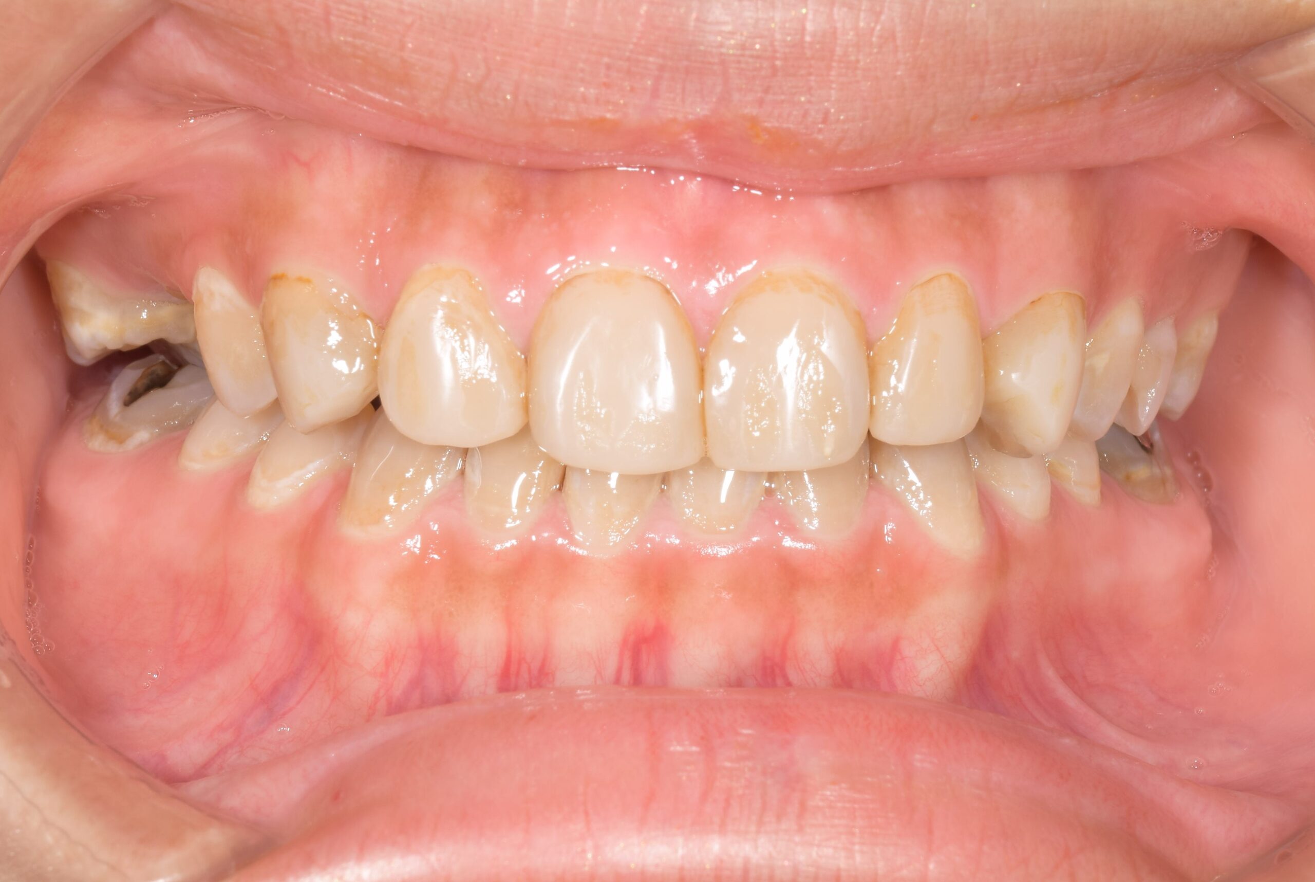
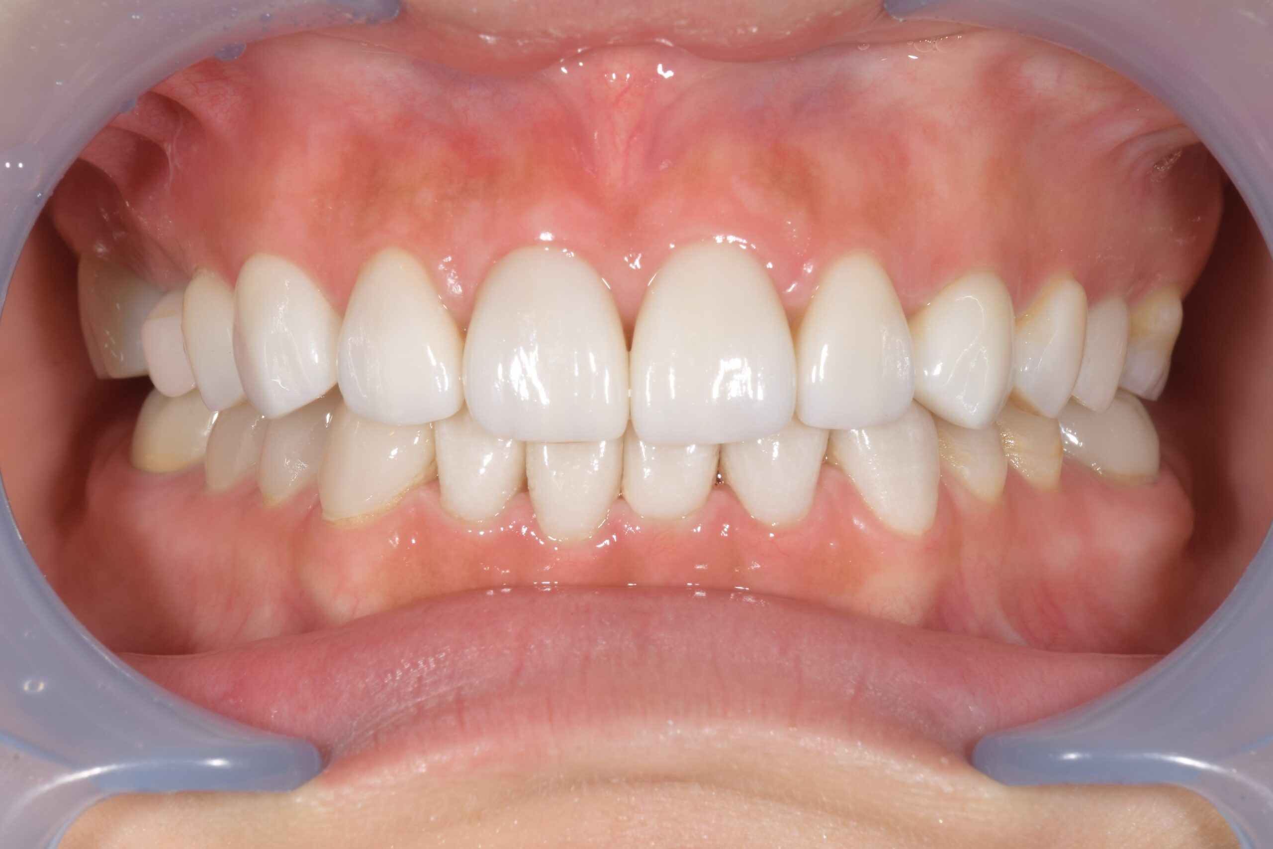
治療概要
| 症状 | 変色歯による審美障害 第2大臼歯欠損 短縮歯列 |
|---|---|
| 年齢 | 21歳 |
| 原因 | 先天欠損 カリエスによる歯冠崩壊 幼少期のテトラサイクリン投与 |
| 治療法 | 歯周基本治療 スタビライゼーションスプリント&プロビジョナルレストレーションによる下顎位の修正 臼歯部歯冠修復 前歯部ポーセレンラミネートべニア |
| 治療費(目安) | 約240万円(料金改定前) |
治療前-治療後


注意事項とリスク
- 治療期間の変更:歯や歯肉の状態、反応、骨の状態、歯の萌出や動きには個人差があり、計画した期間が変更されることがあります。
- 治療の成果:指示された装置を十分に使用しなかったり、口腔清掃の不備、悪習癖の改善努力、予約を守らない方の場合、治療がうまく進行せず治療期間が長引くだけでなく、治療結果が不十分となることがあります。
- 治療計画の変更:治療の途中で口腔衛生状態の悪化、下顎の成長が著しく変化したり、舌の突出癖が治らない場合など、治療期間の延長、治療方針の変更、抜歯などが必要になることがあります。
- 後戻り、再発と再治療:歯冠修復治療後、口腔清掃の不備、歯ぎしり、喰いしばり等の悪習癖の悪化などにより虫歯や歯周病の再発、修復物や歯根の破折が起こった場合、再治療が必要となります。
- 親知らず(第三大臼歯)の抜歯:親知らずのある方で、生えてくる余地が足りない場合、18~20歳前後にその萌出力によって、再び歯並びや咬み合わせが悪くなることがあります。このような恐れがある場合には、事前に親知らずの抜歯が必要になります。
- 歯の痛み:修復物を入れたばかりのときや、治療をした後は歯が浮いたように感じることや、痛みを感じる場合もありますが、通常数日で軽快します。あまりに症状が強いときにはご相談下さい。
- 歯の失活:非常に稀に、歯を移動したことでその歯の神経が壊死することがあります。過去にぶつけたことのある歯は、この危険性が増大します。また、壊死した歯に急性症状が現れた場合には根管治療が必要になります。
- 顎関節症:現代人の顎の関節はとても弱くなっており、音がしたり、開けにくかったり、痛みを覚えたりする人が増えています。治療前に既に症状がある場合も、治療中に症状が出る場合もあります。顎関節症の原因には、構造的なもの、過去の外傷によるもの、悪い咬み合せによるもの、精神的なストレスや緊張によるもの、咬合力によるもの、態癖によるものなどがありますが、通常はたくさんの原因が重なって顎関節症を起こします。咬み合わせが原因となっている場合は治療で咬みあわせを改善することにより、顎関節症は軽快します。態癖などに関する注意をきちんと守っていただくことが肝要です。