治療概要
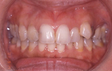
| 症状 | 八重歯、歯茎が気になる。 顎の位置が後ろにさがり、二重顎になっています。 左の顎関節で音がします。食いしばりによる頭痛があります。 |
|---|---|
| 年齢 | 36歳 |
| 原因 | 日々の生活習慣から成る噛み合わせのずれから身体に歪みもありました。 |
| 治療法 | スプリントセラピーの後、セラミックブラケットによる治療とセラミッククラウンによる補綴治療を行いました。 |
| 治療期間 | 2年10か月 |
| 治療回数 | 37回 |
| 治療に用いた主な装置 | スプリント マルチブラケット装置 矯正治療終了後の補綴治療 |
| 治療費(目安) | 約100万(料金改定前) |
治療前-治療後


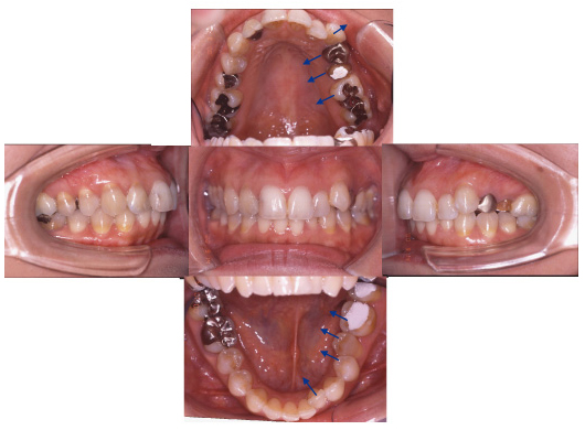
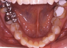
(治療前:写真左)
態癖の影響が強く奥歯が舌側に傾斜し、八重歯になっています。
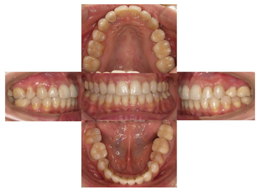
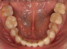
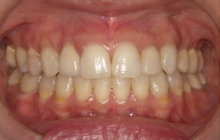
(治療後:写真右)
矯正治療をおこない歯列を整え、金属の詰め物はセラミッククラウンに換えて咬み合わせを再構成しました。








歯並びが小さくなるのは身体にとってよいことではありません。
ですから、歯を抜いて矯正治療をすることは、できる限りしません。
しかしながら、歯並びの状態によってはどうしても抜かなければならない場合もあります。
けれども、歯を抜いても歯並びを小さくしない治療法があります。
三本の小臼歯を抜歯していますが、歯並びを小さくしないようにしています。
そして矯正治療後、初診時の様々な訴えは解消しました。
注意事項とリスク
- 治療期間の変更:歯や歯肉の状態、反応、骨の状態、歯の萌出や動きには個人差があり、計画した期間が変更されることがあります。
- 治療の成果:指示された装置を十分に使用しなかったり、口腔清掃の不備、悪習癖の改善努力、予約を守らない方の場合、治療がうまく進行せず治療期間が長引くだけでなく、治療結果が不十分となることがあります。
- 治療計画の変更:治療の途中で口腔衛生状態の悪化、下顎の成長が著しく変化したり、舌の突出癖が治らない場合など、治療期間の延長、治療方針の変更、抜歯などが必要になることがあります。
- 後戻り、再発と再治療:矯正治療後、動かした歯や歯周組織が安定するのに、個人差はありますが半年から1年かかるため、その間保定装置を入れておきます。使用協力が不十分であったり、態癖をやめられないで再治療が必要になった際には、矯正基本料の1/3から1/2が有料になりますのでご注意下さい。
- 親知らず(第三大臼歯)の抜歯:親知らずのある方で、生えてくる余地が足りない場合、18~20歳前後にその萌出力によって、再び歯並びや咬み合わせが悪くなることがあります。このような恐れがある場合には、事前に親知らずの抜歯が必要になります。
- 歯の痛み:装置を入れたばかりのときや、調整をした後は歯が浮いたように感じることがあり、痛みを感じる場合もありますが、通常数日で軽快します。あまりに症状が強いときにはご相談ください。
- 歯の清掃:矯正装置が入っても、特に食べてはいけないものはありません。しかしながら食後の歯磨きをおろそかにすると、歯の表面が溶けて虫歯になったり、歯茎の炎症が起こります。状況によって、歯磨きの練習に通っていただきますが、これらの程度が進行しますと治療を続けることができなくなり、装置を外す場合もあります。歯磨きは指示されたとおり丁寧に行い、是非ともご注意ください。
- 補綴物の再治療:治療前、あるいは治療後に補綴物を作り直さなければならない場合があります。
- 歯根の吸収:経年的に歯根の長さが短くなることがあります。外傷の既往のある歯、埋伏歯、内分泌疾患などはこの原因となります。矯正治療によって起こる吸収は、個人差はありますが、通常は僅かなもので日常生活での支障はありません。しかし、非常に稀に著しい歯根吸収を起こすことがあり、歯の寿命が短くなる場合があります。
- 歯根の癒着:時として歯の根と顎の骨が癒着していることがあります。このような場合には、通常の矯正処置では歯を動かすことができませんので、外科的な処置による歯の移動が必要になります。
- 歯の失活:非常に稀に、歯を移動したことでその歯の神経が壊死することがあります。過去にぶつけたことのある歯は、この危険性が増大します。また、壊死した歯に急性症状が現れた場合には根管治療が必要になります。
- 成長のバランス:受け口の人の中で、顎変形症の症状が極度に強く、治療中、治療後に下顎が著しく成長してくる場合があります。矯正治療だけでは十分な対応ができなくなる際には、外科手術が必要になります。
- 顎関節症:現代人の顎の関節はとても弱くなっており、音がしたり、開けにくかったり、痛みを覚えたりする人が増えています。矯正治療前に既に症状がある場合も、治療中に症状が出る場合もあります。顎関節症の原因には、構造的なもの、過去の外傷によるもの、悪い咬み合せによるもの、精神的なストレスや緊張によるもの、咬合力によるもの、態癖によるものなどがありますが、通常はたくさんの原因が重なって顎関節症を起こします。咬み合わせが原因となっている場合は矯正治療で咬みあわせを改善することにより、顎関節症は軽快します。態癖などに関する注意をきちんと守っていただくことが肝要です。
- 歯肉退縮:元々歯槽骨量の少ない方の場合、歯肉が下がり、歯が長くなったり、ブラックトライアングルができることがあります。先回り骨造成手術や、歯肉移植などを行う必要があることがあります。